COPD
1、患者,女,76岁。诊断为慢性阳塞性疾病20年,近半年轻度活动即出现整气,下肢水肿,食欲缺乏。既往:冠心病。查体:神志清楚,口唇发绀,颈静脉怒张、桶状胸、呼气相延长,心界不大,P2>A2,剑下搏动增强,肝肋下3cm,肝-颈静脉回流征阳性,双下肢可凹性水肿。患者特征性的检查结果不包括()
A.心电图:重度顺钟向转位
B.P波增宽
C.心脏超声:右心房、右心室扩大
D.脑钠肽升高
E.肝酶轻度升高

阻塞性通气功能障碍按照慢性阻塞性肺疾病的标准定义为FEV1/FVC<0.7,其他特征包括FEV1、FVC(可正常)、FEFS和MMEF、PEF、FET降低,V-V曲线将支向内凹。限
制性通气功能障碍的重要特点是肺活量FVC减少而FEV1/FVC比例升高。




肺容量指标间的相互关系如下图所示,一次平静呼吸时所吸入或呼出的气体量即为潮气量,平静吸气末再尽力吸入的气体量为补吸气量,同理,平静呼气末继续用力呼出的气体量为补呼气量,补呼气后仍残留在肺内无法呼出的气体量即为残气量(RV)。这四个指标相加即得出肺总量(TLC),即气道及肺部所能容纳的最大气体量。
➤用力肺活量(FVC)为深吸气至肺总量位后以最大力气、最快速度所能呼出的全部气体量。测量出第1秒内所呼出的气体量,得到用力呼气量FEV1,是评估肺通气功能的重要指标。以最快的速度和最大的幅度自主呼吸一分钟吸入或呼出肺的气体量即为最大通气量(MVV)。MVV反映受试者的呼吸储备功能,是临床上评估患者能否进行开胸手术的重要指标。
肺弥散功能是指气体分子通过肺泡-毛细血管膜进行交换的能力,临床上常用一氧化碳测定肺弥散量(DLCO)。
2、患者,男,63岁。慢性阻塞性肺疾病多年,平时规律吸入噻托溴铵治疗。近期天气变冷后,严重时雾霾天外出骑摩托车后2d出现喘息加重,稍微活动即出现憋气,咳嗽、咳痰较前无明显改变。入院查体:自主体位,神志清楚,呼吸23次/min,血氧饱和度(Sp02)89%,双肺弥漫哮鸣音,双下肢轻度水肿。胸部X线片提示肺过度充气,未见渗出。外周血白细胞计数7.8×109儿,中性粒细胞百分比70%,嗜酸性粒细胞百分比5.6%。以下治疗方案不恰当的是()
A.沙丁胺醇雾化吸入
B.莫西沙星抗感染
C.布地奈德雾化吸入
D.泼尼松40mg口服
E.控制性氧疗
慢性阻塞性肺疾病急性加重的抗生素应用指征:①同时出现以下三种症状,呼吸困难加重、痰量增加和痰液变浓;②患者仅出现以上三种症状中的两种但包括痰液变浓这一症状:③严重的急件加重,黑要有创或无创机械诵气。医海老师提示详见人卫第9版《内科学》第26页。三种临床表现出现两种加重但无密液变浓或者只有一种临床表现加重的慢性阻塞性肺疾病急性加重期(AECOPD),一-般不建议应用抗菌药物。本患者急性加重和空气污染暴露相关,痰性质无改变,无须抗生素治疗。
3、患者,男,69岁。诊断为慢性阻塞性肺疾病10年,规律LAMA治疗,肺功能FEV1占预计值38%,干家务活即出现呼吸困难,1年内咳嗽、喘息加重3次,其中1次住院治疗。个人史:农民,烧柴烹饪40年。该患者的长期治疗方案应选择()
A.加用ICS
B.加用LABA
C.加用ICS/LABA
D.口服阿奇霉素
E.口服茶碱 D组 mMRC评分大于2 用3种
慢阻肺(稳定期)的常用治疗药物如下:
推荐药物:
异丙托溴铵、噻托溴铵粉、沙丁胺醇、福莫特罗、布地奈德/福莫特罗、沙美特罗/氟替卡松、茶碱;
备选药物:
茚达特罗、噻托溴铵、左旋沙丁胺醇、特布他林、沙丁胺醇/异丙托溴铵、乌美溴铵/维兰特罗、茚达特罗/格隆溴铵、氨茶碱
1.支气管舒张剂和ICS
支气管舒张剂是慢阻肺的基础一线治疗药物,主要的支气管舒张剂有β2受体激动剂、抗胆碱能药物及甲基黄嘌呤类药物,可根据药物作用及患者的治疗反应选用。
与口服药物相比,吸入制剂的疗效和安全性更优,因此多首选吸入治疗。联合应用不同作用机制及作用时间的药物可以增强支气管舒张作用,更好改善患者的肺功能与健康状况,通常不增加不良反应。

2.联合制剂

3、其他药物

初始治疗方案推荐:
稳定期慢阻肺患者初始治疗方案如图:

A组患者,条件允许可推荐使用LAMA;
B组患者,若CAT>20分,推荐起始使用LAMA+LABA联合治疗;
D组患者,若CAT>20分和血嗜酸粒细胞计数≥300个/μl,可考虑ICS+LABA+LAMA三联治疗,尤其是重度或以上气流受限者;
若血嗜酸粒细胞计数≥300个/μl或合并哮喘的患者,首先推荐含ICS的联合治疗。
总结,根据这个表来判断:

4、
气道、肺实质及肺血管的慢性炎症是COPD特征性改变,中性粒细胞、巨噬细胞、T淋巴细胞等炎症细胞均参与COPD发病过程。中性粒细胞的活化和聚集是COPD炎症过程的一个重要环节,通过释放中性粒细胞弹性蛋白酶引起慢性黏液高分泌状态并破坏肺实质。故COPD气道炎症最主要的效应细胞是中性粒细胞。人卫第9版《内科学》第21页。
5、触觉语音震颤减弱或消失见于:①肺泡内含气量过多,如肺气肿;②支气管阻塞,如阻塞性肺不张;③大量胸腔积液或气胸;④胸膜高度增厚粘连;⑤胸壁皮下气肿。
语音震颤增强见于:①肺泡炎症浸润,肺组织实变使语音传导良好,如大叶性肺炎实变期和肺梗死等;②接近胸膜的肺内巨大空腔,尤其当空腔周围有炎性浸润并与胸壁靠近时,如空洞型肺结核、肺脓肿等。医海老师提示详见人卫第9版《诊断学》第129页。
6、患者,男,68岁。呼吸困难9年,进行加重2年,上2层楼即出现憋气。既往吸烟27年,1包/d、戒烟17年。查体:一般可,桶状胸、双肺叩诊过清音。双肺呼吸音低下,肺动脉瓣区第二心音亢进,心律齐,有力,双下肢无水肿,杵状指/趾。不符合患者肺功能的是()
A.FEV1/FVC 0.38
B.FEV1占预计值15.5%
C.RV占预计值248.6%
D.一氧化碳弥散量占预计值83%
E.RV/TLC 75.69% (正常值小于或等于35%)
肺心病
1、
心电图对慢性肺心病的诊断标准包括:
(1)额面平均电轴>+90°;
(2)V1R/S≥1:
(3)重度顺钟向转位(V5R/S≤1);
(4)RV1+SV5>1.05mV;
(5)aVRR/S或R/Q>l;
(6)V1-V3呈QS,Qr或qr(酷似心肌梗死,应注意鉴别;
(7)肺型P波。
具有一条即可诊断。医海老师提示详见人卫第9版《内科学》第111页。

2、
肺源性心脏病出现代谢性碱中毒主要原因是
A.液体入量不足
B.代谢性酸中毒时,尿钾排出增多
C.肾上腺皮质激素过量
D.大量葡萄糖输入
E.大量排钾性利尿药的使用

3、肺心病正性肌力药物:

4、LTOT适应症:

5、慢性肺心病并发症:

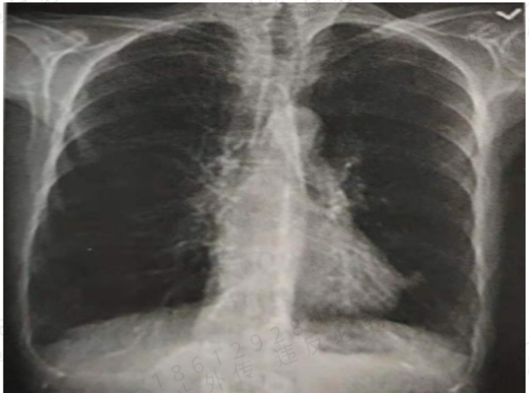
6、患者男,70岁。进行性活动后呼吸困难7年。既往:吸烟30年,30支/d。查体:桶状胸,双肺呼吸音低下,肺动脉听诊区第二心音亢进,剑突下搏动增强,双下肢可凹陷性水肿。X线如图。肺功能:FEV./FVC0.45,FEV,占预计值的45%,RVTLC67%,TLC占预计值的150%,一口气呼吸法DLCO-sb占预计值的60%,支气管舒张实验:FEV,改善 4.5%(30ml)。

[第二间]该患者的长期治疗方案应选择()
A.异丙托溴铵吸入
B.沙丁胺醇吸入
C.噻托溴铵吸入
D.布地奈德吸入
E.氨溴索口服






























